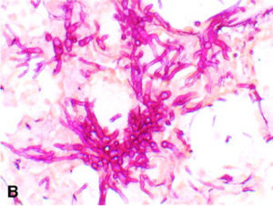
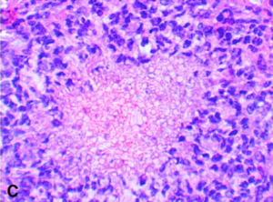
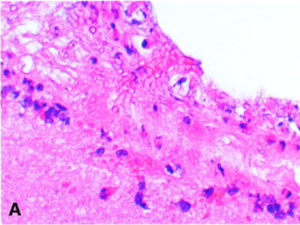
This is a series of HE and PAS stained slides demonstrating intra-sinus inflammation and fungal structures with Aspergillus fumigatus in the rabbit.

 

Model of Murine Pulmonary Aspergillosis

Murine models of pulmonary aspergillosis are important for the assessment of novel therapeutics and diagnostics, as well as for the study of disease pathogenesis. CBI has developed and validated a model of intratracheally-induced pulmonary aspergillosis infection in mice. In this model, an infection in the lung is established and then various modalities for treatment are assessed.

Images: Comparative Efficacies, Toxicities, and Tissue Concentrations of Amphotericin B Lipid Formulations in a Murine Pulmonary Aspergillosis Model

Endpoints may include:

  • Fungal culture
  • Histopathology
  • Clinical pathology

REVIEW ARTICLE

Frontiers in Microbiology, 16 May 2017 | https://doi.org/10.3389/fmicb.2017.00841

 

Contact Comparative Biosciences, Inc. to discuss a scientific study program to fit your Preclinical needs.