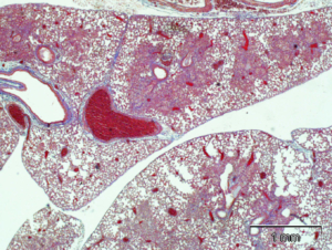
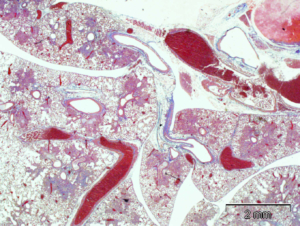
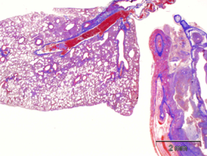
Photomicrographs showing low and high magnification of multifocal chronic granulomatous pneumonia with fibrosis and chronic inflammation and hyperplastic bronchial lymphoid tissues throughout lungs of mice with experimental sarcoidosis.

 

Murine Model of Sarcoidosis: Pulmonary Fibrosis and Chronic Inflammation

Murine models of  Sarcoidosis or granulomatous pneumonia, pulmonary fibrosis and hypersensitivity are important for the assessment of novel therapeutics and diagnostics, as well as for the study of disease pathogenesis.  CBI has developed and validated a robust murine model of Propionibacterium acnes-induced hypersensitivity, or granulomatous pneumonia which serves a model for Sarcoidosis. In this model, the repeated intrapulmonary introduction of killed P. acnes induces a robust, uniform and marked inflammatory response in the lung characterized by inflammation, granuloma formation and fibrosis throughout the lung.

Endpoints may include:

  • Histopathology
  • Immunohistochemistry and special stains
  • Clinical pathology

Contact us to discuss a scientific study program to fit your Preclinical needs.