The CBI histology laboratory is offering some new capabilities! In addition to our standard histology, pathology, immunohistochemistry and histomorphometry in both a research and GLP environment, we have just presented a poster at the SOT showing our newly validated and proprietary method for Phase Contrast Analysis of pulmonary pathology, particularly in hyperoxygenated neonatal rats.
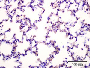
CBI has developed and validated a histomorphometric Phase Contrast Analysis method to measure changes in the alveolar wall thickness and size of the alveolar wall spaces. Below are figures demonstrating the comparison between normal and hyperoxygenated lungs showing both histology and the Phase Contrast Analysis. Further, CBI has characterized the expression of a number of immunohistochemical markers in this model.

Top: Inflammation and alveolar wall thickening in hyperoxygenated rat pups (left). Right: normal. HE

Collagen Type I expression-up-regulated expression in hyperoxygenated lungs
Collagen Type I expression-normal lungs. There is minimal expression.

