CBI offers preclinical research studies in dermal and pulmonary fibrosis. In addition to our validated bleomycin-induced fibrosis models, we also now offer fibrosis studies with the JAX Tight Skin Mouse Model.
There are several models of dermal fibrosis (scleroderma and pulmonary fibrosis) suitable for testing drugs. Bleomycin-induced dermal and pulmonary fibrosis are established models offered at CBI. Currently, the Tight Skin Mouse Model has recently become established as a suitable model. JAX labs breeds these mice and has characterized them and at CBI we utilize them in preclinical studies.
From the JAX website:
“The Fbn1Tsk allele contains a 30 to 40 kbp genomic tandem duplication resulting in a larger than normal in-frame transcript. Homozygotes are embryonic lethal, failing to survive past somite formation (7-8 days of gestation). Heterozygotes are viable and fertile, exhibiting excessive growth and hyperplasia of connective tissue, cartilage, tendon sheaths and bone. Skin tightness, due to hyperplasic thickening of subcutaneous loose connective tissue and abnormal organization and distribution of skin microfibrillar arrays, develops by the first week after birth. Although the size of the skeleton is increased, body weight remains normal. Mutant mice exhibit polyuria during the light cycle. Collagens and glycosaminoglycans accumulate in the skin, heart, lungs and bladder. Hypertrophy is also observed in the enlarged heart (aortic adventitia). Mutant mice have enlarged thoracic size and lungs with abnormal alveolar walls, irregular shaped alveoli, and increased lung capacity. By 1 month of age, heterozygotes develop emphysema with progressive destruction of alveolar walls and loss of elasticity. Inflammatory macrophages and neutrophils infiltrate the lower respiratory tract. The abnormal immune system characteristics exhibited by this strain also include: alveolitis, increased number of mast cells in the skin, presence of autoantibodies specific for scleroderma target antigens and anti-nuclear antibodies.”
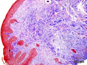
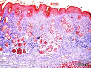
Here at CBI we conduct preclinical studies with these mice for the purposes of characterizing investigative and disease mechanism of fibrosis. For our clients, we assess the activity of client test drugs on collagen formation or collagen reversal using histopathology, immunohistochemistry, histomorphometry, bioanalysis and biomarkers. We can assess lesions and responses to treatment in both the skin and in the lungs. The photomicrographs below demonstrate dermal collagen formation in the skin at low and high magnifications. Our laboratories offer state of the art preclinical studies and our histology laboratory prepares state of the art dermal and lung histopathology, histomorphometry and immunohistochemistry.
![]() |
![]() |
| Increased dermal collagen with epidermal hypertrophy and inflammation in the JAX Tight Skin Mouse, a model of scleroderma. These sections were prepared and evaluated from studies conducted at CBI. | |


